Sophia Genetics Partners with Belgian Hospital to Streamline Next-Generation Sequencing Workflows
Jessa Ziekenhuis will implement unified genomic testing platform across pathology operations, expecting to reduce hands-on time by up to 50%.
Read MorePosted by CLP Edit Staff | Sep 10, 2025 | Molecular Diagnostics |
Jessa Ziekenhuis will implement unified genomic testing platform across pathology operations, expecting to reduce hands-on time by up to 50%.
Read MorePosted by CLP Edit Staff | Sep 10, 2025 | Sequencing Systems |
The clinician-ordered test integrates polygenic risk scores validated in over 236,000 participants from the NIH’s All of Us Research Program.
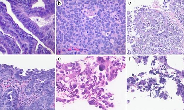
Read MorePosted by CLP Edit Staff | Sep 10, 2025 | Anatomic Pathology |
High-grade serous carcinoma identified in cervical biopsies is overwhelmingly secondary to upper genital tract tumors, most commonly of endometrial origin, the study finds.
Read MorePosted by CLP Edit Staff | Sep 9, 2025 | Molecular Diagnostic Analyzers |
New offering combines genetic testing with clinical decision support tools to help optimize medication selection and dosing across multiple specialties.
Read MorePosted by CLP Edit Staff | Sep 5, 2025 | Library Preparation Systems |
DNA-wrapped lipid nanoparticles show improved cellular uptake and reduced toxicity compared to standard delivery methods used in COVID-19 vaccines.
Read More