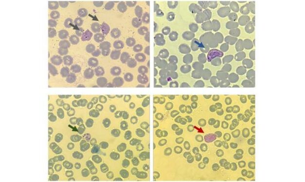
Molecular Platform Shows Promise for Detecting Asymptomatic Malaria Cases
A field-deployable test demonstrates high sensitivity in identifying low-level infections that traditional methods miss, potentially supporting elimination efforts.
A field-deployable test demonstrates high sensitivity in identifying low-level infections that traditional methods miss, potentially supporting elimination efforts.
Labcorp introduced a molecular H5 bird flu test to help diagnose human infections with the H5N1 virus, enhancing public health response.
Abbott's Pandemic Preparedness Survey found significant gaps remain in surveillance programs and testing infrastructure capabilities.
Brazilian researchers identified potential biomarkers linked to the recurrence of P. vivax malaria, providing insights for drug development.
Read MoreH5N1 avian flu, historically infecting birds, has recently infected three farm workers. Diagnostic testing may be our best defense.
Read MoreThe development of a quantitative real-time PCR method by researchers enhances the detection of Escherichia Albertii.
Read MoreA study detailed a new Zika virus-specific synthetic molecule that effectively distinguishes Zika from related dengue virus infections.
Read MoreGeorge Mason University researchers have been awarded over $1 million to develop a urine-based Lyme disease test.
Read MoreThe FDA granted EUA for Labcorp’s Mpox PCR Test Home Collection Kit, facilitating the early detection and management of mpox infections.
Read MoreResearchers developed a rapid, accurate test for diagnosing malaria that is significantly faster and easier to use than traditional tests.
Read MoreA study showcased the application of Flongle sequencing as a cost-efficient and rapid method to detect the zoonotic pathogen.
Read MorePicodya has developed a scalable solution that is being used by the NIH to find Disease X and stop the next pandemic in its tracks.
Read MoreA new study has revealed disparities in the diagnosis and treatment of Lyme disease between Black and White patients with the condition.
Read MoreA pilot study demonstrated the importance of self-sampling in diagnosing asymptomatic or atypical cases of mpox.
Read MoreCurrent diagnostic methods can vastly overestimate the rates that malaria parasites are multiplying in an infected person’s blood.
Read MoreA rapid test for mpox has been developed that can detect the virus within minutes, without the use of any high-end instrumental techniques.
Read MoreNoze received a grant of $1 million to build a breathalyzer, powered by its platform, to detect breath biomarkers (VOCs).
Read MoreCue Health has received EUA from the U.S. Food and Drug Administration (FDA) for its molecular test to detect the mpox (monkeypox) virus.
Read More